首、肩、背中の症状の原因で多いのが「ストレートネック」です。

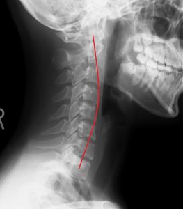
写真はストレートネックのレントゲン画像です。
赤いラインが正常な骨のカーブ。
体質というよりも、体の使い方からストレートネックになってしまいます。
つまり「姿勢」です。
スマホやパソコンを使う時に前かがみの姿勢になっている人ほどストレートネックになりやすいのです。
頭の重さは約5kg。
ボウリングのボールぐらいの重さです。
悪い姿勢で重い頭を支え続けると首の骨の負担はとても大きくなり、変形してしまいます。
カイロプラクティックで筋肉や関節をゆるめ、バランスを整え、リセットする。
そして、普段の姿勢を気を付ける。(背筋を伸ばす。)
これを繰り返すことでストレートネックも改善していきます。
体は良い刺激を入れれば、良い方向へ変化します。
しっかりリセットして、本来あるべき体に戻し、元気にハッピーに過ごしましょう!
みたちカイロプラクティック整体院 三舘
<港区:田町・三田・赤羽橋>